...

Medical Experts Uncover Surprising Find in Woman’s Knees

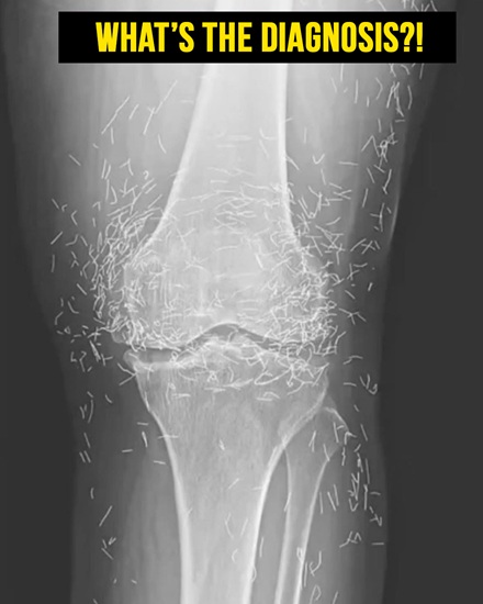
A 65-year-old woman from South Korea sought help for chronic knee pain, expecting routine care for osteoarthritis. Doctors, however, discovered something unusual that immediately drew attention and became a remarkable medical case. Osteoarthritis slowly wears down the cartilage in joints, causing pain, stiffness, and swelling. Daily activities like walking short distances, bending, or climbing stairs become increasingly difficult and exhausting for those living with the condition. For years, she relied on standard pain medications and… CONTINUE READING…

Categories: News

Leave a reply

Your email address will not be published. Required fields are marked *