A 65-year-old woman from South Korea sought help for chronic knee pain, expecting routine care for osteoarthritis. Doctors, however, discovered something unusual that immediately drew attention and became a remarkable medical case.
Osteoarthritis slowly wears down the cartilage in joints, causing pain, stiffness, and swelling. Daily activities like walking short distances, bending, or climbing stairs become increasingly difficult and exhausting for those living with the condition.
For years, she relied on standard pain medications and anti-inflammatory drugs. These treatments provided only partial relief and often caused unwanted side effects, particularly stomach irritation, leaving her frustrated and seeking alternative solutions.
Acupuncture became her chosen alternative. This ancient therapy, used for thousands of years in Asia, involves inserting needles at specific points to relieve pain and improve joint function, sometimes providing benefits where medications fail.

In her treatment, gold needles were used instead of standard stainless steel ones. These tiny gold threads were left embedded in her knees to provide ongoing stimulation and potential long-term pain relief.
Retained needles, while traditional in some cultures, are controversial in modern medicine. Foreign objects in the body can trigger inflammation, infection, and fibrous tissue formation, leading to complications if not carefully monitored.
“Foreign objects left inside the body can cause abscesses, inflammation, and infection,” explained Dr. Ali Guermazi, professor of radiology at Boston University, who has researched retained acupuncture but was not involved in this specific case.
Embedded needles can also interfere with medical imaging. X-rays may be obscured, complicating the evaluation of bones and joints. In some cases, retained objects require additional imaging considerations or modified diagnostic approaches.
The human body naturally reacts to foreign materials. As Dr. Guermazi explains, the body may form fibrous tissue around needles or trigger a chronic inflammatory response, creating swelling or tenderness in the affected joints.

MRI procedures are particularly risky for patients with metallic needles. Magnetic forces can cause metal to shift inside the body, potentially damaging tissues or nearby arteries, making careful assessment critical before any imaging.
Despite these risks, acupuncture remains widely popular. Millions worldwide use it for pain relief and musculoskeletal conditions, often as an alternative to long-term medication or invasive procedures, highlighting its enduring appeal.
Evidence for acupuncture’s effectiveness is mixed. Some patients report significant relief, while studies suggest results are often subjective, and placebo effects may contribute. High-quality clinical evidence is still limited but growing over time.
In parts of Asia, small gold threads are commonly used in osteoarthritis treatment. Practitioners believe these threads stimulate blood flow, reduce inflammation, and improve joint mobility, although scientific validation is still in early stages.
In 2007, over three million adults in the U.S. received acupuncture treatments, along with approximately 150,000 children, according to the National Center for Complementary and Alternative Medicine. Popularity continues to grow as patients seek non-pharmacologic pain management.
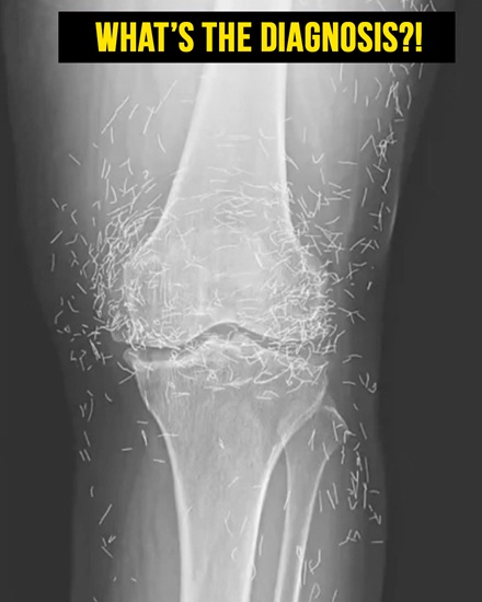
The woman’s X-rays revealed multiple tiny gold needles embedded deep within her knees. Radiologists noted the unusual density and placement, highlighting both the therapeutic intent and the potential risks of retained acupuncture objects.

Retained needles act as foreign bodies, often eliciting a chronic immune response. Fibrous tissue forms around the object, sometimes reducing mobility, causing discomfort, or complicating future medical procedures if left unchecked.
Doctors caution patients to inform healthcare providers of all alternative therapies. Knowledge of embedded needles is essential for planning surgeries, imaging, or other treatments, ensuring patient safety and avoiding inadvertent complications.
Gold is considered biologically inert, but bacteria can still colonize around foreign objects, potentially causing infections. Regular monitoring is important to ensure that the therapy does not result in joint infection or abscess formation.
Patients sometimes pursue acupuncture due to intolerance of medications or desire to reduce reliance on pharmaceuticals. While some report pain reduction, medical supervision is crucial, particularly when treatments involve retained or metallic materials.
The New England Journal of Medicine reported this case to highlight potential complications of retained acupuncture needles and encourage clinicians and patients to be vigilant about alternative therapies.
Cultural beliefs play a role in acupuncture practices. In traditional East Asian medicine, gold is thought to promote circulation, reduce inflammation, and improve healing, making it a preferred material in some arthritis treatments.

While retained needles are uncommon, the case demonstrates the intersection of traditional medicine and modern medical oversight. Physicians must weigh cultural practices against safety considerations, especially when foreign objects are intentionally left inside joints.
Even though this woman had some pain relief, her knees now serve as a reminder of the unintended consequences of alternative treatments. The embedded needles highlight the need for monitoring and informed decision-making.
Healthcare professionals emphasize that patients should communicate openly about alternative therapies. Knowledge of retained needles ensures safe imaging, accurate diagnosis, and proper surgical planning, reducing the risk of serious complications in the future.
This case underscores the importance of research. While acupuncture has centuries of traditional use, rigorous studies are needed to fully assess long-term effectiveness, safety, and best practices for arthritis management.
Globally, acupuncture remains an accessible and popular treatment. Patients report relaxation, temporary pain relief, and improved mobility. However, awareness of potential risks, particularly with retained objects, is essential for safe treatment.
For osteoarthritis patients exploring alternative therapies, this story serves as a cautionary tale. It illustrates both potential benefits and risks, emphasizing the importance of trained practitioners, informed consent, and regular medical supervision.

The woman’s gold-laden knees may appear extraordinary, but they reflect a broader reality: alternative therapies can leave lasting impacts, and safety must always be balanced with the pursuit of relief and wellness.
Doctors remind patients that while traditional practices may offer comfort, coordination with conventional medical care ensures both effectiveness and safety, especially for treatments that introduce permanent or semi-permanent materials into the body.
Finally, the case highlights the complex relationship between cultural tradition, patient choice, and modern medicine. Acupuncture continues to provide therapeutic opportunities, but careful management is necessary to avoid unintended health consequences.
For anyone considering acupuncture, especially retained needle therapy, consulting qualified medical professionals and understanding all potential risks is essential. Safety, monitoring, and informed decision-making are key to successful outcomes.
In conclusion, the 65-year-old woman’s experience illustrates that alternative therapies can provide relief but may carry unexpected risks. Retained gold needles highlight the delicate balance between traditional treatments and modern medical safety practices.
Her story serves as both an inspiration and a warning, demonstrating that ancient practices like acupuncture should be approached thoughtfully, with full awareness of potential benefits and long-term consequences.